Successful High-Risk Left Main PTCA in a 90-Year-Old Patient

high-risk-left-main-ptca-in-a-90-years-old-patient

Successful High-Risk Left Main PTCA in a 90-Year-Old Patient: A Remarkable Clinical Milestone

Managing acute coronary syndrome (ACS) in extremely elderly patients with multiple comorbidities remains one of the greatest challenges in interventional cardiology. This case represents a remarkable example of how advanced techniques, meticulous planning, and experienced execution can lead to excellent outcomes—even in the highest-risk scenarios.

Patient Presentation

A 90-year-old elderly gentleman, a lung cancer survivor, with known chronic kidney disease (CKD), presented to our emergency department with symptoms suggestive of acute coronary syndrome (ACS). Given his age and complex medical history, he was categorized as an extremely high-risk patient from the outset.

Diagnostic Findings

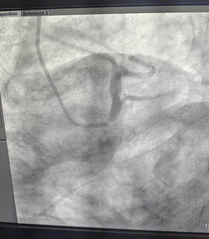
Coronary angiography (CAG) revealed a critical ostial stenosis of the left main coronary artery, a lesion known for its prognostic significance and high mortality risk if left untreated. Left main disease, especially in elderly patients, demands careful evaluation and individualized decision-making.

Treatment Decision-Making

All available treatment options—including medical management, coronary artery bypass grafting (CABG), and percutaneous coronary intervention (PCI/PTCA)—were discussed in detail with the patient and his family. Considering the patient’s advanced age, previous cancer history, renal impairment, and surgical risk, the family opted for a complex, high-risk percutaneous transluminal coronary angioplasty (PTCA).

Technique Performed: Complex High-Risk Left Main PCI

The procedure was planned with extreme caution, focusing on safety, precision, and optimal outcomes. Key aspects of the intervention included:

  • Careful lesion assessment of the left main ostium
  • High-risk PCI strategy with meticulous guide catheter support
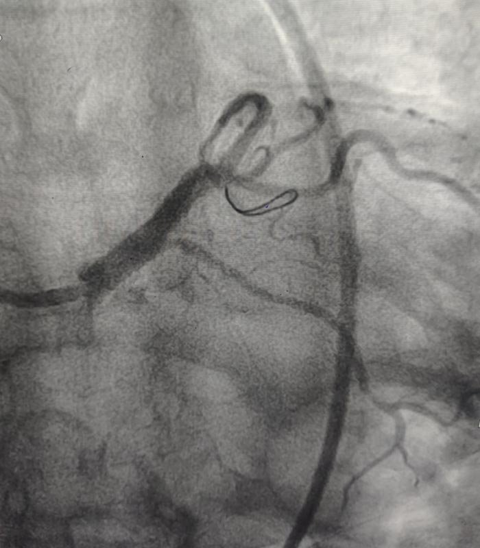
  • Precise lesion preparation to ensure optimal stent expansion
  • Accurate stent deployment across the critical left main lesion
  • Optimization of final results to achieve excellent angiographic flow

Special attention was paid to minimizing contrast load due to the patient’s CKD, while ensuring procedural success. The intervention resulted in excellent restoration of coronary blood flow with no procedural complications

Outcome and Recovery

Post-procedure, the patient remained hemodynamically stable, showed significant clinical improvement, and recovered without any adverse events. He was successfully discharged in stable condition, marking yet another milestone in complex coronary interventions.

This case highlights that advanced age alone should not be a deterrent to life-saving interventions. With the right expertise, careful patient selection, and modern interventional techniques, even high-risk left main coronary artery disease can be treated successfully.

Dr. Ashish Agarwal’s expertise in handling complex coronary anatomy and high-risk PCI continues to set benchmarks in contemporary interventional cardiology—delivering hope and outcomes where challenges are greatest.